Mon chat et sa RTCF
La réduction tête-col du fémur (RTCF) est une intervention chirurgicale pratiquée lorsque l’articulation de la hanche du chat est gravement endommagée.
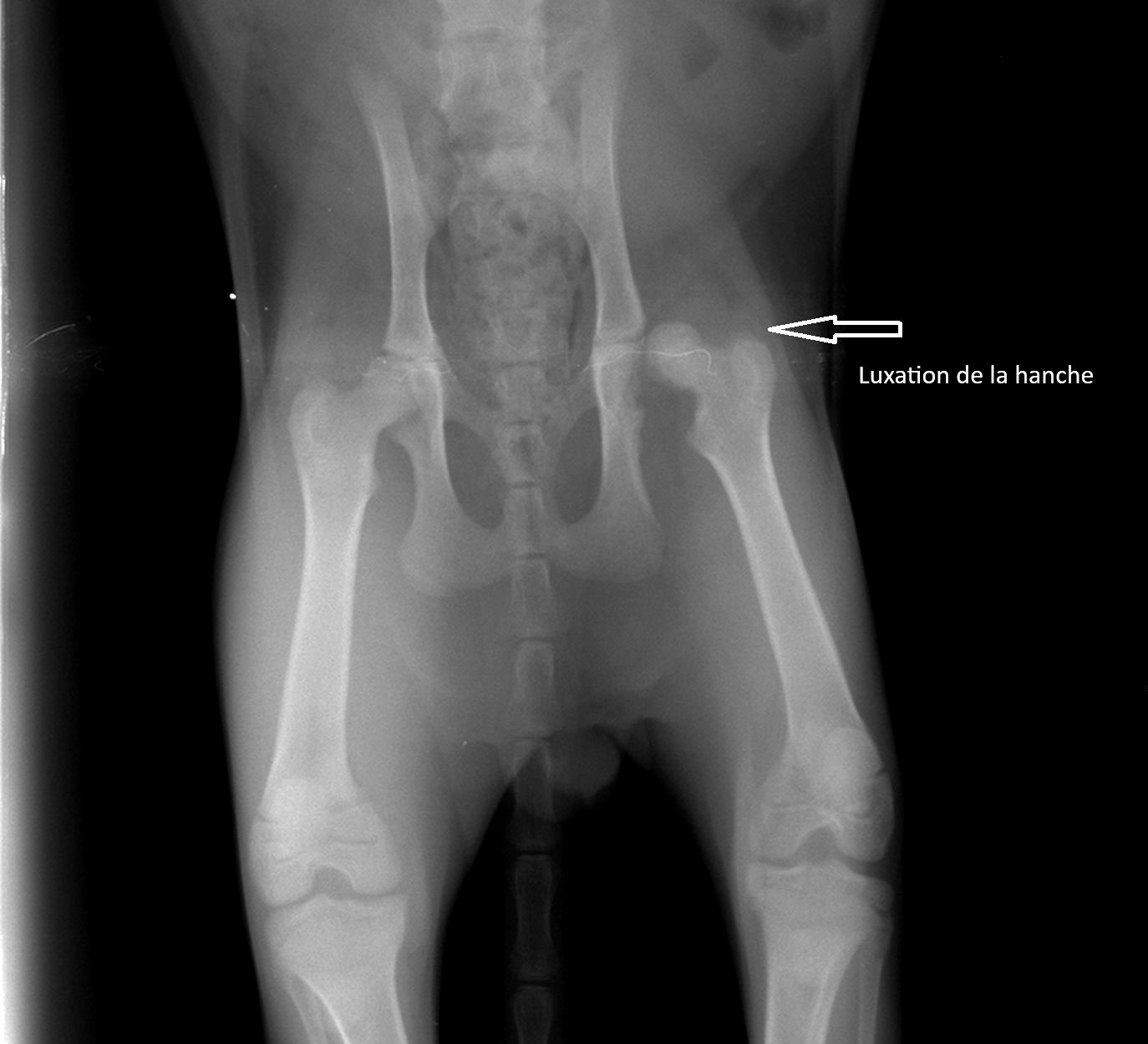
Dans la majorité des cas, l’origine est traumatique : une chute, un accident ou un choc violent peuvent provoquer une fracture ou une luxation de la hanche.
Plus rarement, la RTCF peut être indiquée en cas de malformation de la hanche, d’instabilité articulaire chronique ou d’arthrose avancée, lorsque l’usure progressive de l’articulation entraîne une gêne permanente.
Quelle que soit la cause, l’objectif de l’intervention reste le même : soulager durablement la douleur et permettre au chat de remarcher grâce à la formation progressive et naturelle d’une nouvelle articulation.

La chirurgie
Après une tonte complète du membre postérieur, une asepsie effectuée, une incision cutanée est réalisée sur la face latérale de la hanche.
Une dissection des muscles de la hanche est réalisée jusqu’à exposer l’articulation de la hanche. Une section du col fémoral permet le retrait de la tête et du col fémoral puis les plans musculaires, sous-cutané et cutané sont refermés.
Après la chirurgie, un tissu fibreux se forme dans la région de l’articulation de la hanche, empêchant ainsi le contact entre l’os du bassin et le fémur créant une pseudo-articulation.
La masse musculaire maintient la hanche en place.
La patte opérée sera légèrement plus courte, mais cela ne cause pas de problème fonctionnel.

Soins post-opératoires et conseils
Le contrôle de la douleur post-opératoire est gérée avec plusieurs médicaments dont de la morphine et des anti-inflammatoires.
Chez vous, des médicaments seront prescrits pendant quelques jours :
- Anti-inflammatoires pendant 10 jours
- Antibiotiques pendant 10 jours
Après la chirurgie, l’activité de votre chat n’est pas strictement limitée, mais un repos contrôlé est nécessaire pendant les 10 premiers jours afin de favoriser une bonne cicatrisation.
L’exercice permet de limiter la formation d’adhérences et donc de maintenir la mobilité de l’articulation de la hanche.
La plupart des animaux commencent à poser la patte et à s’y appuyer dans les 2 semaines suivant la chirurgie. L’appui se montre progressivement plus franc et la récupération est bonne en 2 à 3 mois.
Votre animal doit être réexaminé 1 mois après la chirurgie afin de s’assurer que tout se déroule correctement.










