Mon chat a un souffle cardiaque
Durant une consultation, nous avons découvert que votre chat présentait un souffle cardiaque à l’auscultation.
Un souffle est un bruit que l’on entend en plus des battements cardiaques reflétant une turbulence dans le flux sanguin. Nous les gradons de I à VI en fonction de leur sévérité.
Il faut au moins une litière par chat plus une litière additionnelle (2 chats = 3 litières). Dans un endroit calme, à plusieurs endroits dans le foyer, loin des endroits fréquentés .
Une litière agglomérante à grain fin, avec une épaisseur d'environ 3/4cm, est plus agréable pour les coussinets que du pellet de bois par exemple.
Une entrée au sol, plus facile d'accès.
Certains chats se sentent piégés dans les bacs avec un couvercle, privilégiez donc les bacs ouverts. Ils evitent egalement à un autre chat de bloquer la sortie pour le chat utilisant la litière.
Longueur minimum de 1.5 fois le chat du nez a la base de la queue, afin qu'il puisse se retourner facilement.
Retirez la litière souillée une fois par jour minimum et nettoyez le bac entièrement une fois par semaine.
Il est possible de convertir des grandes bassines en plastique ou plateaux de rempotage en litière si vous ne trouvez pas de bac assez grands pour votre chat.
Les litières automatiques et les sacs au fond du bac peuvent être source de stress pour votre chat. Ne regroupez pas les bacs à litières ensemble ni à côté des gamelles ou de l'eau.
Origine médicale
· Innocent
Dans 70% des cas, les souffles sont dits « innocents », cela signifie qu’il n’y a aucune pathologie sous-jacente qui impacterait la santé de votre chat. Cela arrive fréquemment chez les chatons, et peuvent disparaitre avec le temps.
· Origine cardiaque
La maladie cardiaque la plus fréquente chez le chat (dans 75% des cas) est une myocardiopathie hypertrophie ou CMH : la paroi du cœur s’épaissie, entrainant une modification dans le flux sanguin. La dépister est essentielle, car cette maladie peut décompenser dans 30% des cas et entrainer des symptômes extrêmement graves et dangereux pour la santé de votre chat.
· L’hypertension
L’hypertension systémique est une maladie fréquente du chat âgé (en moyenne 1/6 des chats de plus de 7 ans en sont atteints), qui impacte de nombreux organes : les yeux, les reins, le cerveau et le cœur. L’hypertension entraine une augmentation de la vitesse du flux sanguin dans le cœur et crée ainsi ce bruit supplémentaire à l’auscultation. Dans les cas les plus avancés, ce changement de vélocité entraine un épaississement de la paroi du cœur et l’apparition d’une cardiomyopathie hypertrophique secondaire.
· L’anémie
La diminution du nombre de globules rouges dans le sang entraine une baisse de viscosité de celui-ci qui devient plus « liquide ». Cette modification entraine l’apparition d’un bruit lors des battements cardiaques.
Comment diagnostiquer mon chat ?
Afin de déterminer la cause du souffle cardiaque, plusieurs examens complémentaires peuvent vous être ainsi conseillés :
- La mesure de la pression artérielle : elle se fait lors de la consultation à l’aide d’un doppler.
- La numération de formule : afin de dépister l’absence d’anémie.
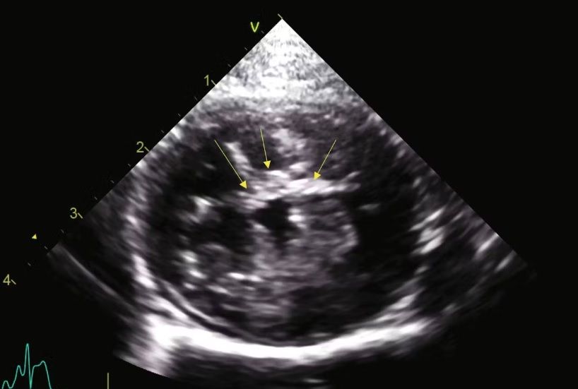
- L’échocardiographie : il s’agit de l’échographie du cœur. Cet examen est fait par des spécialistes.
Comment surveiller mon chat ?
Certains symptômes peuvent être le signe d’alerte d’une pathologie cardiaque évoluant, nécessitant donc une investigation du souffle rapide :
- La présence de toux : lors de pathologie cardiaque grave, un œdème pulmonaire apparait et provoque alors une gêne respiratoire.
- Une respiration au repos supérieur à 30 mouvements par minute. Pour la mesurer, il faut regarder l’abdomen de votre chat. Des vidéos explicatives peuvent vous aider à le pratiquer :
- Une intolérance à l’effort : une respiration gueule ouverte après un jeu, des épisodes de jeu moins fréquent ou moins long qu’auparavant, …
- Une boiterie d’apparition soudaine : lors de pathologie cardiaque, des caillots peuvent se former dans le cœur et partir dans la circulation sanguine pour se bloquer dans les pattes : cela provoque une douleur brutale, et parfois l’extrémité des pattes peut vous sembler froids.











